Dental Services
With over 50 years of experience between us, we offer a wide selection of dental procedures.
We can provide many treatments, from oral surgery to endodontics and many more.
Root Canals
A root canal can have a variety of causes: deep decay, repeated dental procedures on the tooth, or a crack or chip in the tooth. In addition, trauma to a tooth may cause pulp damage even if the tooth has no visible chips or cracks. If pulp inflammation or infection is left untreated, it can cause pain or lead to an abscess.
Extractions
Gum disease can loosen or severely damage a tooth. A tooth that is severely damaged may need to be removed. Your dentist or a surgeon who specializes in surgeries of the mouth (oral and maxillofacial surgeon) can remove a tooth.
Crowns
A tooth may need a crown if it has a very large filling or fracture in order to protect the remaining tooth structure. The tooth is prepared and an impression is made in order for the crown to be fabricated in a laboratory to achieve a result that looks like a natural tooth.
Bridges
A bridge is made up of two crowns one on each tooth on either side of the gap -- these two anchoring teeth are called abutment teeth -- and a false tooth/teeth in between. These false teeth are called pontics and can be made from gold, alloys, porcelain or a combination of these materials. Dental bridges are supported by either natural teeth or dental implants.
Bleaching
Want a brighter smile? When it comes to tooth-whitening, in-office-based teeth bleaching is offered.
Teeth whitening done by your dental professional can get teeth brighter faster. The bleaching solution is usually much stronger than at-home kits. Also, heat, light, or a combination of the two may be used to speed and intensify the whitening process.
Cleaning
A professional dental cleaning is a procedure done by your dental hygienist or dentist to improve the health of your gums and teeth. Your dental professional will use special tools to remove plaque, tartar, and bacteria that you are unable to efficiently clean yourself. This procedure is recommended at least two times a year, for people with healthy gums, to successfully evaluate your oral health. At these visits a screening for periodontal disease, an oral cancer screening and a screening for dental caries will be performed.
Implants
Generally speaking, if you have lost teeth you are a candidate for dental implants. It is important that you are in good health, however, as there are some conditions and diseases that can affect whether dental implants are right for you.
Dentures
A denture is a removable replacement for missing teeth and adjacent tissues. It is made of acrylic resin, sometimes in combination with various metals. Complete dentures replace all the teeth, while a partial denture fills in the spaces created by missing teeth and prevents other teeth from changing position.
All on 4
All on 4 service, it is a denture attached to implants permanently so there is no need to take dentures out.
Are permanent teeth that are brushed and cleaned like natural teeth, they also: Do not need adhesives, are comfortable because they do not press down on your gums, allow you to experience the hot and cold of your food- as well as the taste, allow you to bite with increased force (up to 70% more), prevent bone deterioration and restore your facial features.
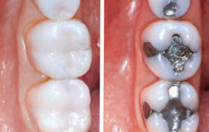
Cosmetic and Restorative Fillings
Dental restorations and fillings are utilized to replace tooth structure lost due to a cavity or minimally broken tooth; and also to cosmetically improve the appearance of teeth. Cosmetic Dental Bonding provides a way to repair chipped or broken teeth, close gaps, conceal discoloration or other imperfections, and lengthen teeth. The tooth-colored bonding material is a quick and affordable way to protect your teeth and improve the aesthetics of your smile.
Scaling and Root Planing
Scaling and root planing is a careful cleaning of the root surfaces to remove plaque and calculus [tartar] from deep periodontal pockets and to smooth the tooth root to remove bacterial toxins.
TMJ Treatment
Many people are affected by TMJ. TMJ stands for temporomandibular joint. It is the joint that connects the lower jaw to the bone on each side of the head. The joint is stabilized by muscles that make it possible to open and close the mouth. Severe pain, discomfort or tenderness in or around these joints is referred to as aTMJ disorder. Common symptoms include: Tenderness or pain in the face, jaw and ear, chewing difficulty or discomfort, headaches, painful clicking of the jaw, and difficulty opening or closing the mouth.











